FRÜHBEHANDLUNG
Diese Behandlungsphase wird mit verschiedenen, hauptsächlich herausnehmbaren Apparaturen durchgeführt, um die weitere Entwicklung des Gebisses wieder in die richtige Bahn zu lenken.
FUNKTIONSKIEFERORTHOPÄDIE
kurz FKO – hierbei wird mit speziell angefertigten, individuell herausnehmbaren Geräten die Gebissentwicklung beeinflusst.
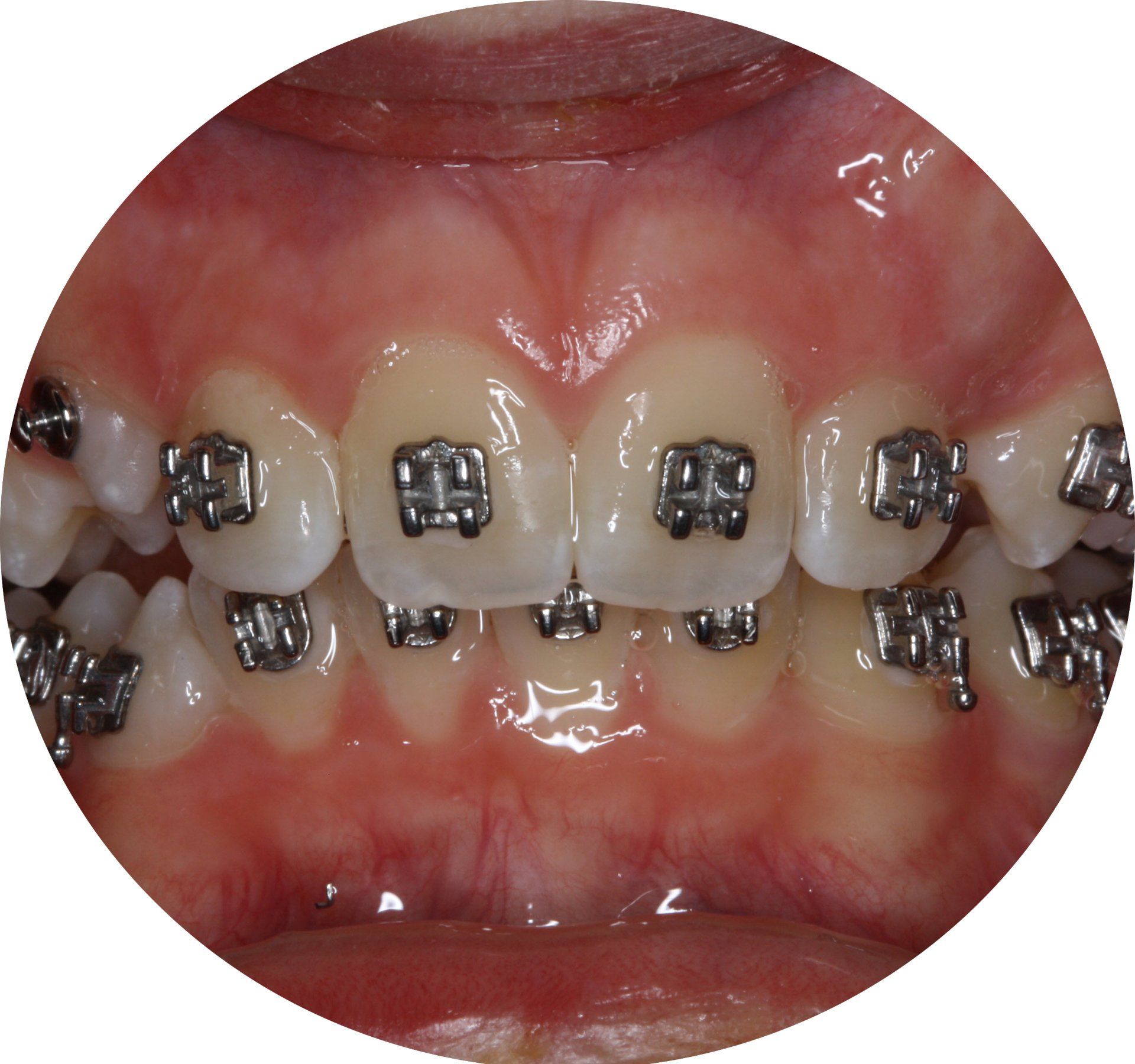
MULTIBAND THERAPIE
Bei der festsitzenden Therapie werden Hilfsteile - Brackets genannt- auf dem Zahnschmelz adhäsive befestigt, zu deutsch: geklebt.


KIEFERORTHOPÄDISCH- CHIRURGISCHE KOMBINATIONSTHERAPIE
Hierbei wird nach Vorbehandlung mit festsitzenden Apparaturen, die Korrektur der Kieferfehlstellung durch einen chirurgischen Eingriff am Ober- und / oder Unterkiefer und kurzem stationärem Aufenthalt erreicht.
ALIGNER THERAPIE
Bei dieser Behandlung erfolgt die Zahnkorrektur durch eine unsichtbare Zahnspange, dem Aligner.
Er wird aus durchsichtiger Kunststofffolie hergestellt und ist praktisch unsichtbar.


BERATUNG
Wir beraten Sie zu allen Ihren kieferorthopädischen und zahnärztlichen Problemen, halten auch immer den Dialog zu Ihrem Zahnarzt und allen anderen Beteiligten (Logopädie, Mund-Kiefer-Gesichts-Chirurgie, Physiotherapie)
Es wird immer ein individuelles Behandlungskonzept für Sie erarbeitet.
RETENTION
Stabilisierung des Ergebnisses
Nach Abschluss der aktiven Behandlung erhält ausnahmslos jeder Patient eine lose Haltespange die lebenslang 2-3x/ Woche nachts getragen werden sollte!


SPORTMUNDSCHUTZ
Erhalten Sie sich Ihr schönes Endergebnis, damit Sie auch nach dem Sport noch kräftig zubeißen können.









